Skip to main content
Skip to footer
About Us
Our Staff
Our Office
Testimonials
Smile Gallery
New Patients
Services
General
Bad Breath
Dental Examinations
Dental Fillings
Dental Sealants
Dental X-Rays
Fluoride Treatments
Pediatric Dental Care
Periodontal Surgery
Periodontal Treatment
Teeth Cleaning
Tooth Extractions
Toothaches
Cosmetic
Bone & Tissue Grafts
Braces
Dental Bonding
General Cosmetic
Invisalign
Teeth Whitening
Veneers
Dental Restoration
Crown Lengthening
Dental Crowns & Caps
Dental Implants
Dentures
Fixed Dental Bridges
Sleep Apnea
TMJ Disorders
Advanced
Local Anesthesia
Malocclusion
Night Guards
Oral Cancer
Root Canals
Traumatic Dental Injuries
View All
Testimonials
Contact
About Us
Our Staff
Our Office
Testimonials
Smile Gallery
New Patients
Services
General
Bad Breath
Dental Examinations
Dental Fillings
Dental Sealants
Dental X-Rays
Fluoride Treatments
Pediatric Dental Care
Periodontal Surgery
Periodontal Treatment
Teeth Cleaning
Tooth Extractions
Toothaches
Cosmetic
Bone & Tissue Grafts
Braces
Dental Bonding
General Cosmetic
Invisalign
Teeth Whitening
Veneers
Dental Restoration
Crown Lengthening
Dental Crowns & Caps
Dental Implants
Dentures
Fixed Dental Bridges
Sleep Apnea
TMJ Disorders
Advanced
Local Anesthesia
Malocclusion
Night Guards
Oral Cancer
Root Canals
Traumatic Dental Injuries
View All
Testimonials
Contact
Smile Gallery
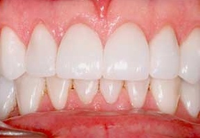
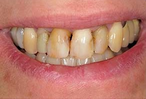
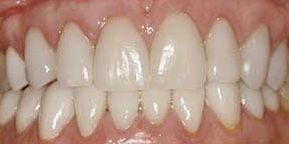
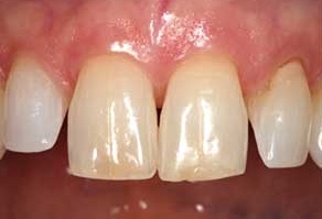
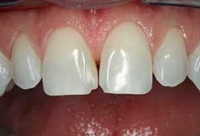
Below you'll find some examples of patients before and after many different types of dental services. Results may vary.
Before
After
Before
After
Before
After
Before
After
Before
After
Before
After
Before
After
Before
After